A 57 YR OLD PATIENT CAME TO OUR CLINIC WITH COMPLAINT OF FOOD LODGEMENT, SPACING AND LOOSENING OF TOOTH SUPPORTED BRIDGE
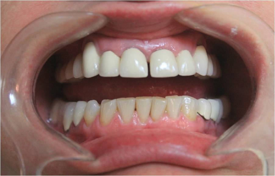
PRE-OPERATIVE FACIAL VIEW OF UPPER AND LOWER JAW
PRE-OPERATIVE LEFT LATERAL VIEW OF LOWER JAW
( ILL- FITTING BRIDGE )

PRE-OPERATIVE LEFT LATERAL VIEW OF UPPER JAW
PRE-OPERATIVE SMILE

LOOSENED BRIDGE ON THE UPPER JAW
WAS REMOVED
10 BCS IMPLANTS ARE PLACED ON THE UPPER JAW
OCCLUSAL VIEW OF LOWER JAW AFTER BRIDGE REMOVAL
PRESENCE OF ROOT STUMPS AND PREPARED TOOTH
6 BCS IMPLANTS PLACED IN LOWER JAW
FACIAL VIEW OF UPPER AND LOWER JAW
AFTER IMPLANT PLACEMENT
OCCULASL VIEW OF UPPER JAW
WITH ZIRCONIA BRIDGE
OCCLUSAL VIEW OF LOWER JAW
WITH ZIRCONIA BRIDGE
FACIAL VIEW OF ZIRCONIA BRIDGE IN UPPER AND LOWER JAW
POST-OPERATIVE LEFT LATERAL VIEW
POST-OPERATIVE RIGHT LATERAL VIEW
POST-OPERATIVE SMILE
For further details
log on to
For enquiry mail us
at
Contact us at
+91- 9171515077
044- 43856017
044- 43856017














No comments:
Post a Comment