Sunday, 21 July 2013

Zirconium bridges for teeth replacement with dental implants.


Where the zirconium crowns are indicated?

Zirconium crowns and bridges are so strong they can be used anywhere in the mouth. Zirconium crowns can withstand the biting pressure of the front teeth as well as back teeth grinding.
The look of zirconium crowns and bridges is so close to natural teeth that it is hard to tell the difference and it is this quality which makes it very usable within dental work. Zirconium crowns can be fixed using traditional dental cements.
                                                The inner surface of zirconium bridges


                                   The occlusion surface or bite surface of zirconium bridges



                              Before fixing the zirconium bridge ...upon dental implant abutments- right side
                                    Before fixing the zircon bridge - left side

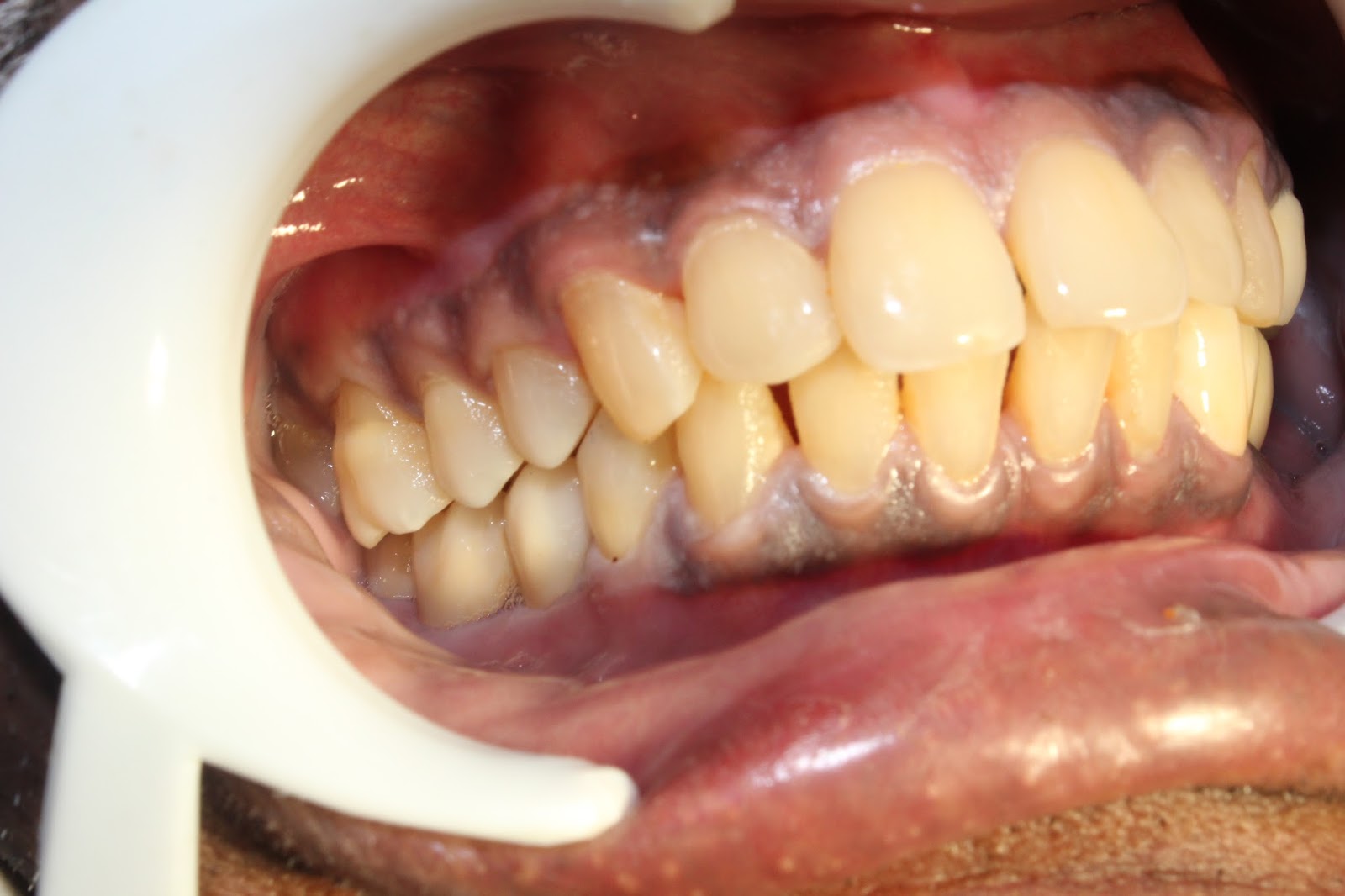
                      After cementation of zirconium bridge on right lower molar region...



                               After cementation of zirconium bridge on left side -lower jaw


Zirconium crowns have quickly become the preferred material for dental crowns. Zirconium is a very strong substance that can endure wear and tear of everyday use. When looking at Zirconium crowns from an aesthetic point it is clear and very similar to a natural tooth and reflects light the same way. This may be important if your new crowns are on the front of your mouth and it is particularly relevant in cases where the crown will be seen next to the natural teeth.

Zirconium vs Porcelain

Porcelain is the conventional material used for the new crowns however, Full porcelain can chip or break. This is overcome by making the crowns from the metal, in this case metal zirconia, then merge the porcelain on the outside. Zirconia metal gives the strength while the porcelain gives the appearance of a normal tooth. Zirconium crowns allow light to pass as a normal tooth would and that gives a natural look, unlike other metal cores that are block the light.

The advanatages of Zirconium crowns and bridges

  1.Extraordinary toughness
 2.No metal coping
 3.Withstands wear and tear 
 4.Modifiable size,shape and color
 5.Biocompatabile
6.Esthetics is close to natural teeth
7.Black unsighty color near the gum margin in Ceramic crowns is avoided in zirconium 
8.Hot and cold sensation which you may feel in other crowns is not present in zirconium
9.High precision in marginal fitting of the crown
10.Provides strength without that bulky appearance that porcelain is so known for
11.Easy for oral hygiene maintenance to the patient
12.No irritation to the gums
13.Ideal for patients with night grinding


Cost of zirconium crown and bridges

 To know the cost click here for details..

No comments:

Post a Comment