Patient came with the complaint of shaking lower front teeth due to improper maintenance of oral hygiene .This is a form aggressive gum disease and also because of the severe diabetic condition of the patient at younger age.
The BASAL implants are safer for diabetic patients with predictable success and with no complications.
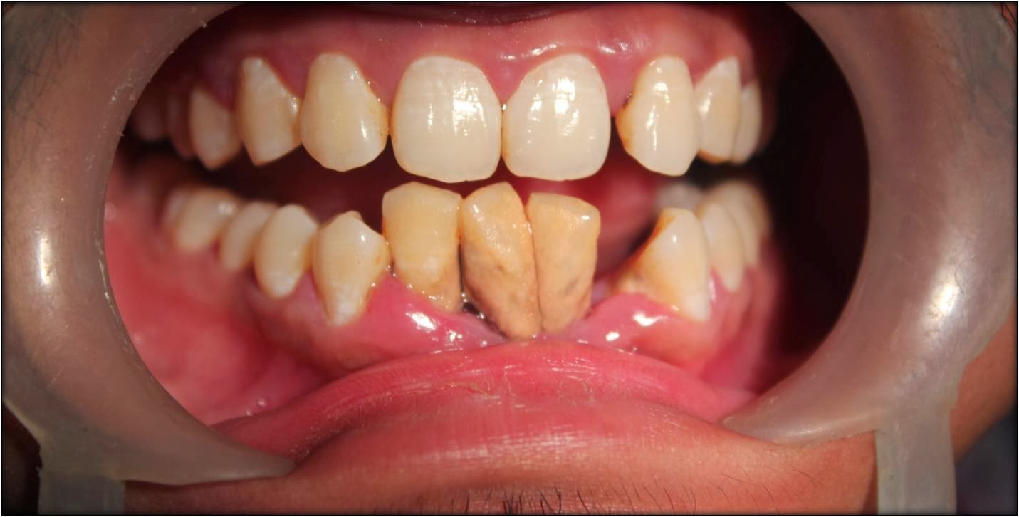
Picture showing severe plaque, calculus , tartar with severe gaps..
The BASAL implants are safer for diabetic patients with predictable success and with no complications.
Picture showing severe plaque, calculus , tartar with severe gaps..
Periodontally weakened teeth removed and source of infection is cleared
Immediately after extraction , 2 single piece implants placed in position, on the same day
Next Day after procedure shows good healing
24 Hrs from the procedure , provisional restoration given
For further details and queries , mail us @ bestdentalno1@gmail.com
contact number - 9171515077 , 044-43856017





No comments:
Post a Comment